Marcações: Gaia: 223 754 351 * Feira: 256 802 348 *

Facetas em resina injetável

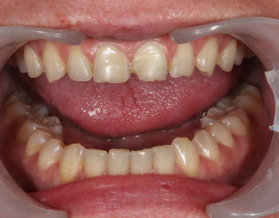
Conheça o caso da nossa querida paciente Danielle. Uma das principais queixas da Danielle era o desgaste dentário que apresentava. Esta condição deriva da erosão das peças dentárias. Se, atempadamente, não for tratado o quadro pode piorar encurtando o tamanho dos dentes e consequentemente comprometer a saúde de toda a cavidade oral. Conheça abaixo o tratamento escolhido para resolver o problema.

Descrição do Caso Clínico

A paciente apresentava um desgaste dentário generalizado em toda a arcada superior. Esta condição pode causar vários problemas funcionais como sensibilidade dentária, perda de anatomia, infeções e perda dentária. A estética fica também comprometida, pois os dentes ficam mais curtos e desgastados dando uma aparência envelhecida.
Atualmente com a inovação na área da medicina dentária podemos prevenir e até mesmo evitar o desgaste dentário precoce.

Através de um mockup, apresentámos à Danielle o resultado final esperado do tratamento planeado. Decidimos em conjunto com a paciente avançar com um procedimento inovador, com resultados imediatos e muito pouco invasivo: reabilitação com resinas compostas injetáveis. É uma excelente opção, não só para tratar o desgaste dentário, como também corrigir diastemas, fraturas, ou outras alterações no sorriso.
Através do uso da resina fluida transferida e injetada por meio de uma chave de silicone transparente, conseguimos reabilitar vários dentes anteriores da paciente, conservando a própria estrutura e anatomia das peças dentárias. O tratamento visa restabelecer a forma, função e estética do sorriso.

Para a prevenção e continuidade do tratamento indicamos o uso de uma goteira oclusal. Este aparelho tem um papel fundamental para evitar o desgaste, preservar a estética das peças dentárias e também o impedimento de uma má oclusão.

Planeamos e realizamos tratamentos diligentes para que os resultados sejam excelentes e estejam ao alcance e altura dos nossos pacientes.

  • Idade - 38 anos
  • Género - Feminino
  • Queixa principal – Desgaste dentário
  • Plano de tratamento – Reabilitação dentária com resinas injetáveis
  • Resultados visíveis – Através de uma chave de silicone conseguimos mostrar ao paciente o resultado final, em boca
  • Inovação tecnológica – Resinas Injetáveis através de uma chave de silicone. Tratamento prático, eficaz e conservador
  • Contributo para outros dentistas – Tratamento inovador. Mais prático que outros métodos de reabilitação com resinas

Profissionais responsáveis por este caso clínico

Uma equipa profissional especializada, experiente e atenta aos detalhes acredita no valor da formação contínua para prestar os melhores cuidados ao paciente com empenho e dedicação.

Joana Monteiro

A Dra Joana Monteiro é médica dentista, especialista em Reabilitação Estética na Medway e formadora no curso de Reabilitação Estética em Prótese Fixa, na Sorriso Natural. O conhecimento e a experiência permitem-lhe planear o sorriso dos seus pacientes com precisão e detalhe, tendo em conta a perspectiva individual de cada um.

A Dra Joana Monteiro é médica dentista, especialista em Reabilitação Estética na Medway e formadora no curso de Reabilitação Estética em Prótese Fixa, na Sorriso Natural. O conhecimento e a experiência permitem-lhe planear o sorriso dos seus pacientes com precisão e detalhe, tendo em conta a perspectiva individual de cada um.

  • Prática clínica exclusiva em Endodontia e Reabilitação Oral
  • Formação em Reabilitação Estética em Prótese Fixa
  • Formação em Harmonização Facial
  • Formadora no curso "Planeamento e reabilitação estética funcional e multidisciplinar" - Sorriso Natural
  • Pós graduada em Endodontia Clinica

Outros Casos Clínicos

Consulte outros casos clínicos semelhantes tratados ns clínicas Medway

Pré-agende a sua consulta

Agende a sua consulta online sem sair do lugar, em menos de 2 minutos terá a sua pré-agenda feita e uma marcação na Medway.