Marcações: Gaia: 223 754 351 * Feira: 256 802 348 *

Reabilitação Oral Sobre Dentes

Conheça o caso da nossa querida paciente Madalena Maia. A professora Madalena Maia, carecia de uma falta de autoestima e de atitude perante a vida. Através de uma recomendação, procurou-nos com a esperança de um novo ciclo, que começava pelo seu sorriso.

Descrição do Caso Clínico

A paciente apresentava vários problemas funcionais e estéticos em toda a sua cavidade oral. Desde a ausência dentária, perda óssea a uma dentição escurecida com o esmalte danificado. Para além deste conjunto de problemas, possuía vários tratamentos dentários particularmente insatisfatórios, como restauros inestéticos, endodontias de pouca qualidade, podendo originar dor/ infeções e um implante em vias de explantação. Decidimos, em equipa, transformar toda esta situação e presentear à Prof. Madalena um plano adequado às suas necessidades.

1. Iniciámos por uma destartarização para remoção do cálculo e placa bacteriana, com o objetivo de tornar a boca mais saudável e com um aspeto limpo;
2. Retratámos os dentes com necessidade de nova intervenção endodôntica;
3. Restaurámos várias peças dentárias, para a funcionalidade e a estética dos dentes;
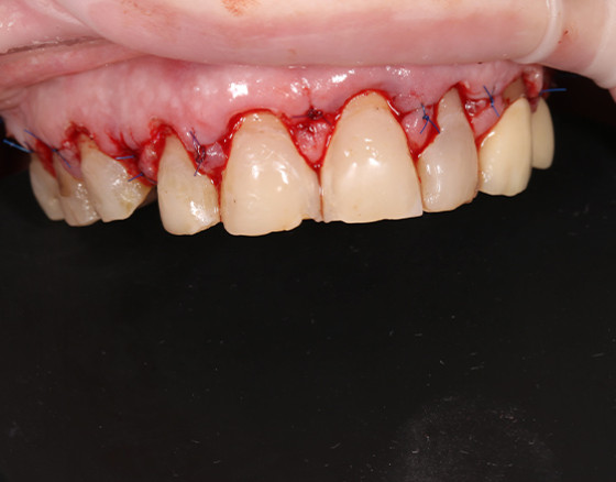
4. Procedemos ao alongamento coronário que visa na remoção do excesso de gengiva o que melhora a estética e promove melhores condições para a execução do plano proposto;
5. Ainda nos aliamos à implantologia para a colocação de dois implantes para colmatar a ausência dentaria da paciente;
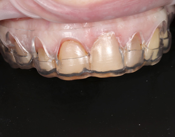
6. Antes de chegarmos à meta, através de um mockup, a paciente consegue ver e analisar o trabalho final. Por meio desta prova podemos melhorar, aperfeiçoar e ajustar o sorriso conforme o gosto e a necessidade da paciente;
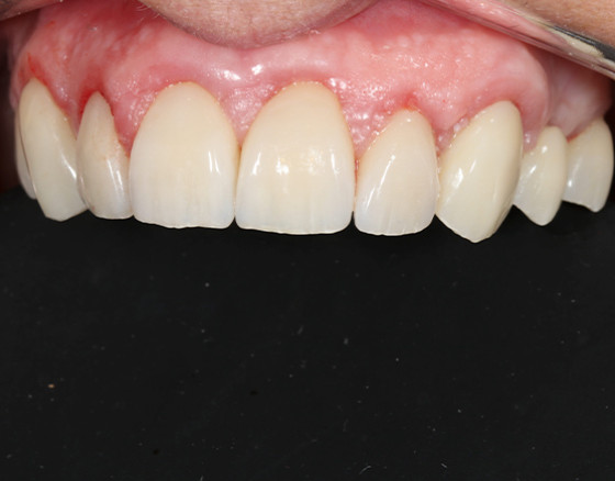
7. Depois dos tratamentos planeados e executados minuciosamente pela nossa equipa, concluímos o trabalho de reabilitação oral com coroas sobre dentes e implantes na arcada superior;
8. Por fim, para harmonizar e equilibrar o sorriso da Prof Madalena restaurámos os dentes da arcada inferior com resinas injetáveis e estéticas.

Atingimos uma reabilitação integral, com diversas especialidades que em equipa e com um trabalho multidisciplinar alcançaram resultados incríveis!

  • Idade - 60 anos
  • Género – Feminino
  • Queixa principal – Dentes inestéticos. ausência de peças dentárias, tratamentos dentários anteriores de baixa qualidade
  • Plano de tratamento - Reabilitação Oral sobre dentes e implantes
  • Dor - Não. Tratamento pouco invasivo
  • Feedback: "Confiei muito em toda a equipa. Tinha quase a certeza que ia ser um dos melhores investimentos da minha vida Todos os receios que tinha de ir ao dentista desapareceram. Obrigada!"

Profissionais responsáveis por este caso clínico

Uma equipa profissional especializada, experiente e atenta aos detalhes acredita no valor da formação contínua para prestar os melhores cuidados ao paciente com empenho e dedicação.

Joana Monteiro

A Dra Joana Monteiro é médica dentista, especialista em Reabilitação Estética na Medway e formadora no curso de Reabilitação Estética em Prótese Fixa, na Sorriso Natural. O conhecimento e a experiência permitem-lhe planear o sorriso dos seus pacientes com precisão e detalhe, tendo em conta a perspectiva individual de cada um.

A Dra Joana Monteiro é médica dentista, especialista em Reabilitação Estética na Medway e formadora no curso de Reabilitação Estética em Prótese Fixa, na Sorriso Natural. O conhecimento e a experiência permitem-lhe planear o sorriso dos seus pacientes com precisão e detalhe, tendo em conta a perspectiva individual de cada um.

  • Prática clínica exclusiva em Endodontia e Reabilitação Oral
  • Formação em Reabilitação Estética em Prótese Fixa
  • Formação em Harmonização Facial
  • Formadora no curso "Planeamento e reabilitação estética funcional e multidisciplinar" - Sorriso Natural
  • Pós graduada em Endodontia Clinica

Outros Casos Clínicos

Consulte outros casos clínicos semelhantes tratados ns clínicas Medway

Pré-agende a sua consulta

Agende a sua consulta online sem sair do lugar, em menos de 2 minutos terá a sua pré-agenda feita e uma marcação na Medway.