Marcações: Gaia: 223 754 351 * Feira: 256 802 348 *

Reabilitação Oral sobre dentes

Conheça o caso da nossa querida paciente Zaida Fonseca. Após uma simples consulta de rotina, a Zaida decidiu dar um upgrade à sua aparência. Desejava um sorriso mais harmonioso e equilibrado. E os seus desejos foram ordens para nós equipa. Conheça o caso clínico em detalhe.

Descrição do Caso Clínico

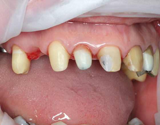
A paciente apresentava ausência dentária, endodontias de baixa qualidade, dentes cariados e inestéticos na arcada superior. Todos estes aspetos, a médio prazo, iriam trazer várias complicações dentárias, como dor e infeções. O plano ideal seria reestruturar e reabilitar de forma fixa toda a arcada superior da paciente.

1. Iniciámos todo o processo com um mockup motivacional, de forma que a paciente percebesse o resultado final do tratamento;
2. Realizámos cirurgia para um implante com enxerto ósseo, pois a paciente carecia de estrutura óssea em algumas zonas;
3. Decidimos retratar vários dentes os quais apresentavam endodontias insatisfatórias, com o objetivo de evitar complicações após a reabilitação sobre os mesmos;
4. Depois de terminarmos os tratamentos base, procedemos aos preparativos para as coroas;
5. Trabalhámos os dentes e os tecidos moles da arcada superior;
6. A gengiva foi aprimorada e ajustada de forma a dar um aspeto natural ao sorriso;
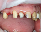
7. Depois de todas as provas estéticas e funcionais para assegurar um resultado de excelência e adaptado à paciente, colocámos onze coroas em zircónica sobre dentes.

Alcançámos uma reabilitação biomimética, conseguindo um sorriso natural, mais funcional e harmonioso, praticando uma abordagem conservadora e minimamente invasiva.

  • Idade – 49 anos
  • Género – Feminino
  • Queixa principal – Dentes inestéticos, escurecidos, ausência dentária
  • Plano de tratamento - Reabilitação Oral sobre dentes
  • Dor - Tratamento pouco invasivo, sem dor
  • Feedback do paciente – Resultado muito natural e harmonioso
  • Inovação tecnológica – Mockup motivacional apresentado à paciente na consulta de planeamento do tratamento

Profissionais responsáveis por este caso clínico

Uma equipa profissional especializada, experiente e atenta aos detalhes acredita no valor da formação contínua para prestar os melhores cuidados ao paciente com empenho e dedicação.

João Faria

O Dr João Faria é médico dentista, especializado em periodontia, cirurgia e implantes. Reúne um vasto leque de cursos, especializações e formação superior na área da medicina oral. A sua prática clínica e formação contínua permitem-lhe estar sempre a par das novas técnicas e metodologias para garantir aos seus pacientes os melhores resultados.

O Dr João Faria é médico dentista, especializado em periodontia, cirurgia e implantes. Reúne um vasto leque de cursos, especializações e formação superior na área da medicina oral. A sua prática clínica e formação contínua permitem-lhe estar sempre a par das novas técnicas e metodologias para garantir aos seus pacientes os melhores resultados.

  • Professor assistente convidado na CESPU
  • Especialista em Reabilitação Oral
  • Formação hospitalar - Cirurgia periodontal
  • Especialização em implantologia
  • Formação em implantes zigomáticos

Outros Casos Clínicos

Consulte outros casos clínicos semelhantes tratados ns clínicas Medway

Pré-agende a sua consulta

Agende a sua consulta online sem sair do lugar, em menos de 2 minutos terá a sua pré-agenda feita e uma marcação na Medway.