Marcações: Gaia: 223 754 351 * Feira: 256 802 348 *

Reabilitação Total sobre dentes

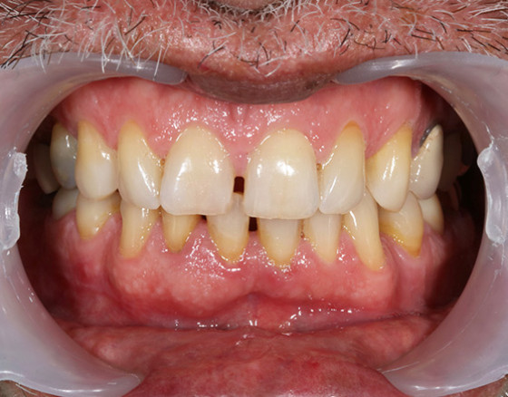
Conheça o caso do nosso querido paciente Douglas. O Douglas, paciente de 67 anos, vindo dos Estados Unidos da América, procurou-nos com o objetivo de mudar o seu sorriso para o resto da vida. Estabelecemos uma meta para um tratamento de excelência e renovação total. Conseguimos transformar um sorriso desvanecido num sorriso radiante e cheio de confiança!

Descrição do Caso Clínico

O Douglas tinha um desejo: Sorrir mais e com mais confiança! O objetivo era obter um sorriso mais harmonioso e impactante. Por isso, aceitámos o desafio e pusemos mãos à obra!

Propusemos várias opções de tratamento, como ortodontia. Contudo o pretendido era algo mais imediato. Por isso, no plano estabelecido, optámos por uma reabilitação fixa, que incluía facetas e coroas sobre dentes.

Contudo, para alcançarmos o resultado final passamos por vários processos:
1. planeamento digital e protocolo de moldagens;
2. remoção das coroas antigas;
3. intervenção na área de endodontia;
4. intervenção com laser para gengivoplastia.

Estes passos foram necessários, já que o objetivo seria adaptar as facetas à gengiva e o resultado ser o mais natural possível. Por fim, foram colocadas as facetas e coroas que melhoraram a forma, cor e resistência dos dentes.

Este tratamento para além de estético, teve como principal objetivo a função e a saúde de toda a boca do nosso paciente. Conseguimos recuperar a cor, a forma e a harmonia de todos os dentes em ambas as arcadas.

  • Estado – Perda das peças dentárias irreversível
  • Motivação – Reverter o descontentamento e recuperar a autoestima
  • Solução Clínica – Reabilitação total sobre implantes
  • Duração da cirurgia – Entre 6 e 7 horas
  • Pós-operatório – De regresso ao trabalho após uma semana
  • Dor – Não
  • A frase – “ A gente vem cheia de medo…e fica calma e relaxa, nem se apercebe de que está a fazer uma grande mudança"

Profissionais responsáveis por este caso clínico

Uma equipa profissional especializada, experiente e atenta aos detalhes acredita no valor da formação contínua para prestar os melhores cuidados ao paciente com empenho e dedicação.

Joana Monteiro

A Dra Joana Monteiro é médica dentista, especialista em Reabilitação Estética na Medway e formadora no curso de Reabilitação Estética em Prótese Fixa, na Sorriso Natural. O conhecimento e a experiência permitem-lhe planear o sorriso dos seus pacientes com precisão e detalhe, tendo em conta a perspectiva individual de cada um.

A Dra Joana Monteiro é médica dentista, especialista em Reabilitação Estética na Medway e formadora no curso de Reabilitação Estética em Prótese Fixa, na Sorriso Natural. O conhecimento e a experiência permitem-lhe planear o sorriso dos seus pacientes com precisão e detalhe, tendo em conta a perspectiva individual de cada um.

  • Prática clínica exclusiva em Endodontia e Reabilitação Oral
  • Formação em Reabilitação Estética em Prótese Fixa
  • Formação em Harmonização Facial
  • Formadora no curso "Planeamento e reabilitação estética funcional e multidisciplinar" - Sorriso Natural
  • Pós graduada em Endodontia Clinica

Outros Casos Clínicos

Consulte outros casos clínicos semelhantes tratados ns clínicas Medway

Pré-agende a sua consulta

Agende a sua consulta online sem sair do lugar, em menos de 2 minutos terá a sua pré-agenda feita e uma marcação na Medway.