Casos de Sucesso Medway
Veja os nossos casos de sucesso
Confira por si todos os casos de sucesso e a evolução de cada paciente que tivemos nas mãos

Reabilitação Oral sobre dentes
Conheça o caso da nossa querida paciente Zaida Fonseca. Após uma simples consulta de rotina, a Zaida decidiu dar um upgrade à sua aparência. Desejava um sorriso mais harmonioso e equilibrado. E os seus desejos foram ordens para nós equipa. Conheça o caso clínico em detalhe.

Hidratação e Contorno Labial com Ácido Hialuronico - Sónia Bessa
Conheça o caso da nossa querida paciente Sónia Bessa. Hidratar e realçar os lábios era um dos propósitos da sua vinda à Medway. Através da harmonização facial o objetivo da nossa paciente foi concretizado, sem exageros e nada artificial. Conheça o caso em detalhe.

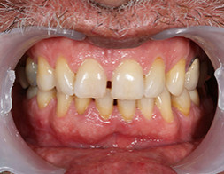
Reabilitação Oral Sobre Dentes
Conheça o caso da nossa querida paciente Madalena Maia. A professora Madalena Maia, carecia de uma falta de autoestima e de atitude perante a vida. Através de uma recomendação, procurou-nos com a esperança de um novo ciclo, que começava pelo seu sorriso.

Reabilitação Oral sobre Implantes na arcada superior
Conheça o caso do nosso querido paciente, que obteve dentes fixos num dia! O Sr. José Silva há muito tempo que não se sentia confortável no seu próprio sorriso. Para além do desconforto estético, o desconforto a nível funcional era bem superior. Conseguimos devolver-lhe a confiança e a harmonia que estavam perdidas há muito tempo.

Reabilitação Total sobre dentes
Conheça o caso do nosso querido paciente Douglas. O Douglas, paciente de 67 anos, vindo dos Estados Unidos da América, procurou-nos com o objetivo de mudar o seu sorriso para o resto da vida. Estabelecemos uma meta para um tratamento de excelência e renovação total. Conseguimos transformar um sorriso desvanecido num sorriso radiante e cheio de confiança!

Facetas em resina injetável
Conheça o caso da nossa querida paciente Danielle. Uma das principais queixas da Danielle era o desgaste dentário que apresentava. Esta condição deriva da erosão das peças dentárias. Se, atempadamente, não for tratado o quadro pode piorar encurtando o tamanho dos dentes e consequentemente comprometer a saúde de toda a cavidade oral. Conheça abaixo o tratamento escolhido para resolver o problema.
Biópsia - Cancro Oral
O cancro oral abrange todos os tumores que afetam qualquer zona da cavidade oral desde o pavimento da boca, língua, lábios, ou orofaringe. Sendo mais comum no pavimento da boca, ou seja, mucosa abaixo da língua, bordo lateral e palato mole. Se o diagnóstico for tardio, o índice de mortalidade tende a ser elevado. É uma doença regular, entre os 45 e os 65 anos, proeminente nos homens e com hábitos pouco saudáveis. O tabaco e o álcool estão entre as causas mais comuns para o desenvolvimento do 6º cancro mais frequente em todo o mundo.

Reabilitação fixa sobre implantes
Conheça o caso da nossa querida paciente Julieta Coelho. A D. Julieta encontrava-se insatisfeita com o seu sorriso, uma vez que as suas próteses fixas não eram esteticamente apelativas nem funcionais. Com dedicação e profissionalismo quisemos devolver-lhe a confiança e qualidade de vida. Para tal, refizemos e corrigimos todo o trabalho de reabilitação dentária da paciente.

Facetas em compósito
Conheça o caso do nosso simpático paciente António Gabriel. O António Gabriel, um dos nossos pacientes mais antigos, decidiu aperfeiçoar ainda mais o seu sorriso. Após um tratamento ortodôntico com a Dra. Daniela Paiva, as facetas dentárias foram a opção certa para alcançar um sorriso de sonho. O plano foi devolver ao António um sorriso mais estético ajustando pequenos pormenores, neste caso, espaços interdentários.

Reabilitação Fixa sobre Implantes
Conheça o caso da nossa querida paciente Amália Paiva. Com alguma ausência de dentes, a D, Amália procurava voltar a sorrir com mais confiança e recuperar a autoestima. Deixou o seu caso nas mãos da equipa da Medway. Iniciou esta viagem, connosco, com o objetivo de melhorar a sua qualidade de vida. Devolvemos jovialidade e saúde à paciente!

Um novo motivo para sorrir
Nenhuma mudança se dá sem um primeiro passo. O desta nossa paciente começou com uma pesquisa na internet, já depois de ter visitado algumas clínicas. Seguiu-se uma conversa telefónica na qual se informou sobre o que iria encontrar e com o que poderia contar na primeira visita à Medway. Após isso, fomos nós que nos sentimos privilegiados por tratar uma pessoa com a sua simpatia, a sua delicadeza e generosidade e poder contribuir para melhorar a sua vida.


























































